Signa Artist Signa artist air edition

If you are looking for SIGNA™ Artist - 70cm | GE Healthcare you've visit to the right place. We have 35 Pictures about SIGNA™ Artist - 70cm | GE Healthcare like MRI – Be Healthcare, SIGNA Artist 1.5T - Protech Solutions and also SIGNA Artist AIR Edition | GE Healthcare (United States). Here you go:

SIGNA™ Artist - 70cm | GE Healthcare

SIGNA™ Artist - 70cm | GE Healthcare www.gehealthcare.co.uk

signa 70cm ge gehealthcare

SIGNA™ Artist Evo* Upgrade With A 70cm Wide Bore - YouTube

SIGNA™ Artist Evo* upgrade with a 70cm wide bore - YouTube www.youtube.com

signa

SIGNA™ Architect/SIGNA™ Artist Lift Installation | GE Healthcare - YouTube

SIGNA™ Architect/SIGNA™ Artist Lift Installation | GE Healthcare - YouTube www.youtube.com

signa artist ge architect healthcare

SIGNA™ Artist - 70cm | GE Healthcare

SIGNA™ Artist - 70cm | GE Healthcare www.gehealthcare.co.uk

artist signa architect fov ge 70cm cm

MRI System | SIGNA Artist | Medical Equipment And Devices For Hospitals

MRI System | SIGNA Artist | Medical Equipment and devices for hospitals www.trademed.com

signa artist mri system trademed ge

SIGNA Artist AIR Edition | GE Healthcare (United States)

SIGNA Artist AIR Edition | GE Healthcare (United States) www.gehealthcare.com

signa quantification gehealthcare 5t resonance

Equipment – Department Of Radiology – UW–Madison

Equipment – Department of Radiology – UW–Madison radiology.wisc.edu

mri ge equipment radiology department scanner

SIGNA™ Artist | GE Healthcare| GE Healthcare

SIGNA™ Artist | GE Healthcare| GE Healthcare www.gehealthcare.com.br

signa brochura

Signa Artist MRI Brings Aesthetics In And Kicks Claustrophobia Out - BW

Signa Artist MRI Brings Aesthetics In And Kicks Claustrophobia Out - BW bwhealthcareworld.businessworld.in

signa claustrophobia aesthetics rawat

Signa 1.5T MRI Scanner Systems | GE Healthcare (India)

Signa 1.5T MRI Scanner Systems | GE Healthcare (India) www.gehealthcare.in

signa 5t 70cm gehealthcare resonance edição

SIGNA™ Artist - 70cm | GE Healthcare

SIGNA™ Artist - 70cm | GE Healthcare www.gehealthcare.com

signa mrcp elective

NewMagnet

NewMagnet www.umassmed.edu

mri ge artist signa

SIGNA™ Artist - 70cm | GE Healthcare

SIGNA™ Artist - 70cm | GE Healthcare www.gehealthcare.com

artist signa 70cm ge

SIGNA™ Artist - 70cm | GE Healthcare

SIGNA™ Artist - 70cm | GE Healthcare www.gehealthcare.co.uk

signa artist 70cm freedom experience technology air

SIGNA Artist | GE Healthcare (United States)

SIGNA Artist | GE Healthcare (United States) www.gehealthcare.com

signa patient workflow optimizing gehealthcare resonance

SIGNA™ Artist - 70cm | GE Healthcare

SIGNA™ Artist - 70cm | GE Healthcare www.gehealthcare.com

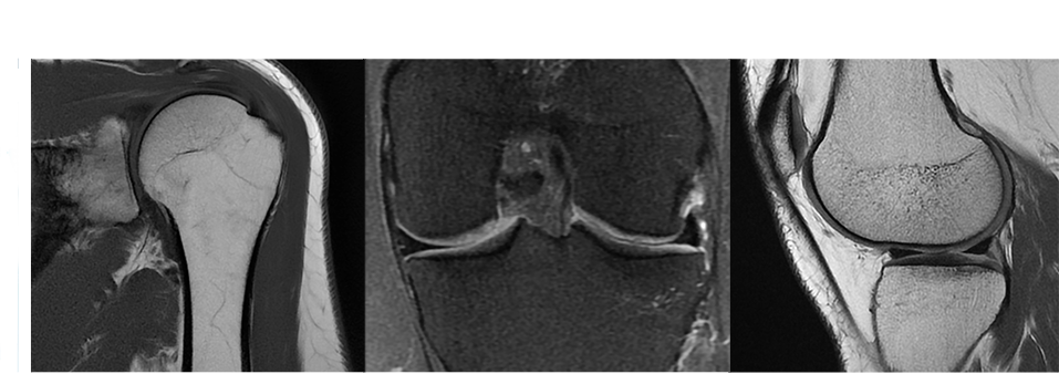
artist signa ge architect 70cm open healthcare bodyworks inclusive fastest allows areas growing address mr library cm gehealthcare

New State-of-the-Art MRI Now Available At UM BWMC | Anne Arundel, MD Patch

New State-of-the-Art MRI Now Available at UM BWMC | Anne Arundel, MD Patch patch.com

mri bwmc signa 70cm

Ressonância Magnética Signa Artist 1,5T | GE Healthcare

Ressonância Magnética Signa Artist 1,5T | GE Healthcare landing1.gehealthcare.com

GE Healthcare - MRgFUS / ExAblate & SIGNA Artist 1.5 T On Healthcare-in

GE Healthcare - MRgFUS / ExAblate & SIGNA Artist 1.5 T on healthcare-in healthcare-in-europe.com

ge signa artist healthcare mri europe

SIGNA™ Artist - 70cm | GE Healthcare

SIGNA™ Artist - 70cm | GE Healthcare www.gehealthcare.com

signa mde

GE HEALTHCARE SIGNA Architect - Medical Dealer - Buy And Sell New And

GE HEALTHCARE SIGNA Architect - Medical Dealer - Buy and Sell New and medicaldealer.com

signa ge architect healthcare medicaldealer

MRI – Be Healthcare

MRI – Be Healthcare www.behealthcare.be

signa mri 5t diagnostyki lepszej proliance orthopaedics 3t protech

Diagnostic Imaging - TA Healthcare Group

Diagnostic Imaging - TA Healthcare Group tahealthcaregroup.com

signa artist healthcare ge imaging diagnostic

SIGNA Artist AIR Edition | GE Healthcare (United States)

SIGNA Artist AIR Edition | GE Healthcare (United States) www.gehealthcare.com

signa elevates emory gehealthcare

York General Upgrades MRI Machine | Latest News | Yorknewstimes.com

York General upgrades MRI machine | Latest News | yorknewstimes.com yorknewstimes.com

mri machine signa ge artist york general yorknewstimes care recovery pdc completed installation both system

SIGNA Artist AIR Edition | GE Healthcare (United States)

SIGNA Artist AIR Edition | GE Healthcare (United States) www.gehealthcare.com

signa

SIGNA™ Artist - 70cm | GE Healthcare

SIGNA™ Artist - 70cm | GE Healthcare www.gehealthcare.co.uk

artist signa define ge 70cm

1.5T | GE Healthcare

1.5T | GE Healthcare www.gehealthcare.com

signa ge resonance imaging magnetic explorer voyager artist gehealthcare 60cm 70cm healthcare

SIGNA Artist AIR Edition | GE Healthcare (United States)

SIGNA Artist AIR Edition | GE Healthcare (United States) www.gehealthcare.com

signa

SIGNA™ Artist - 70cm | GE Healthcare

SIGNA™ Artist - 70cm | GE Healthcare www.gehealthcare.com

signa premier artist ge 70cm gehealthcare

SIGNA Artist 1.5T - Protech Solutions

SIGNA Artist 1.5T - Protech Solutions protech-solutions.com.ua

signa 5t protech опис

SIGNA™ Artist - 70cm | GE Healthcare

SIGNA™ Artist - 70cm | GE Healthcare www.gehealthcare.com

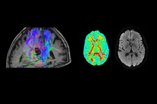
signa dti hyperband b1000

Pure 2 . 0 Neuroquant Silentsuite Disco Turbolava Flex Cube Dir Mavric

pure 2 . 0 neuroquant silentsuite disco turbolava flex cube dir mavric www.gehealthcare.com

SIGNA™ Artist | GE Healthcare | GE Healthcare

SIGNA™ Artist | GE Healthcare | GE Healthcare www.gehealthcare.com

signa

SIGNA™ Artist – 70 Cm | GE Healthcare

SIGNA™ Artist – 70 cm | GE Healthcare www.gehealthcare.de

signa 70cm sende fov gehealthcare

Artist signa architect fov ge 70cm cm. Signa artist air edition. Signa™ artist

close